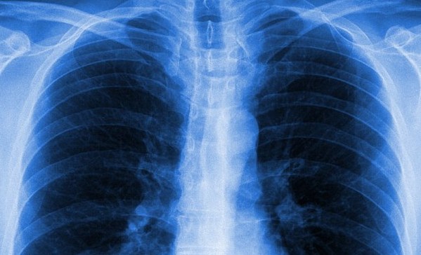
Одобрено революционное средство против муковисцидоза
Члены авторитетной комиссии из консультационного комитета американского агентства по контролю над лекарственными препаратами одобрили новое средство, разработанное компанией Vertex. Препарат Orkambi, основанный на имеющейся версии Kalydeco, но с новой составляющей – Lumacaftor, предназначен для спасения пациентов с кистозным фиброзом. Данный недуг является наследственным и связан с мутацией в определенных генах. В результате, у пациента наблюдаются тяжелые нарушения органов дыхания, мокрота закупоривает легкие и делает их более уязвимыми к воздействию бактериальной микрофлоры. Именно в эту генетическую несправедливость, виновную в половине случаев развития муковисцидоза, и вносит коррективы новое средство.
В ходе клинических испытаний препарата его эффективность удалось подтвердить. Функция легких настолько улучшилась благодаря новому лечению, что эксперты из королевского университета Белфаста назвали терапию настоящим прорывом. Orkambi останавливает прогрессирование заболевания, позволяет пациентам постепенно вернуться к нормальной активной жизни, завести семью, выйти на работу и даже покинуть списки больных, ожидающих донорских легких.
Теоретически, в сопровождающих препарат документах не указано, что его прием приведет к увеличению продолжительности жизни пациентов, в ходе клинических испытаний доказать эту возможность не получилось, но разработчики средства уверены, что именно так и произойдет. Ученые рассчитывают, что уменьшение тяжести заболевания непременно приведет к тому, что больной сможет прожить дольше. Окончательное решение американское агентство озвучит 5-го июля, а в Европе решение относительно выхода препарата на рынок будет принято уже этой осенью, сообщают исследователи.
